Es geht um Autoimmunhepatitis, kurz AIH genannt. Eine grosse Unbekannte. Um dieser Krankheit nachzuspüren, ist gar eine Reise nötig. Die Betroffene, heute 46-jährige Patrizia A.* möchte mir ihre Geschichte erzählen, vor allem auch, um AIH-Erkrankten ein Signal zu senden: Du bist nicht allein.
Patrizia A. hat in ihrem Zuhause in der Limmatstadt den Tisch liebevoll vorbereitet. Schalen mit Früchten und erfrischende Getränke stehen bereit an diesem sehr warmen Sommertag. Erfrischend ist auch unsere Begegnung. Dass Patrizia A. schwer krank ist, davon merke ich nichts, das sehe ich ihr nicht an. Sie bringt es aber sofort auf den Punkt: Bei Hepatitis denken die meisten an eine ansteckende Krankheit. Doch die Autoimmunhepatitis greift «nur» den eigenen Körper, genauer gesagt Leberzellen, an. Was es bedeutet, wenn das eigene Immunsystem die Leber angreift, – Patrizia A. durchlebt es seit drei Jahren.
Eine verrückte Bandscheibe bringt alles durcheinander
Patrizia A. lebt in Zürich, wo sie als Pflegende arbeitet. Sie liebt ihren Beruf. In der Lebensmitte sehnt sich die Aktive, Reiselustige jedoch nach einer Neuausrichtung. Lange hat sie auf eine Weltreise gespart. Einige Traumdestinationen wie die Südseeinsel Hawaii, stehen auf ihrer Liste. Gedanken daran stimmen sie euphorisch. Sie ist eigentlich schon am Ziel, doch dann: Bei einem Hebemanöver eines Patienten im Rollstuhl passiert es – Bandscheibenvorfall. Es folgen monatelange starke Schmerzen und eine Menge Medikamente. Alle Pläne auf Eis gelegt. Schon kurz nach der Rückkehr an ihren Arbeitsplatz der nächste Schlag: Wie aus dem Nichts Gelbfärbung des Augenweiss, unerklärliche Erschöpfungszustände, Juckreiz. Der Hausarzt findet alarmierend hohe Leberwerte, weshalb er Patrizia A. notfallmässig ins Spital überweist, wo man die damals 43-Jährige gründlich abklärt.
Auf der Suche nach einer eindeutigen Diagnose, über eine Armee von Medikamenten und grosse Leere
Nach zwei Leberbiopsien und x Untersuchungen hat Patrizia A.s Krankheit einen Namen: Autoimmunhepatitis Typ I. Seltene Krankheit, über die wenig bekannt ist. Eine schwere Erkrankung, die nicht heilbar ist, in Schüben verläuft und immer wieder Leberentzündungen auslöst, im Verlauf zu Leberzirrhose führen kann und schlimmstenfalls eine Lebertransplantation nötig macht. Patrizia A. ist zum Zeitpunkt der Diagnose völlig verunsichert. Fragezeichen zuhauf. Vier Wochen Spitalaufenthalt; die Leberwerte müssen unbedingt sinken. «Eine Armee von Medikamenten habe ich eingenommen», erinnert sie sich. Glücklicherweise spricht sie auf die sogenannte Stosstherapie mit einem Kortison-Präparat gut an, das Körpergefühl hat sich jedoch ins Negative verändert, denn leider bringen die Medikamente massive Nebenwirkungen mit sich, wie z.B. Diabetes oder Bluthochdruck, welche zusätzlich verunsichern. «Das Urvertrauen war weg. Normalerweise spüre ich meinen Körper. Das war jedoch nicht mehr der Fall. Das machte mir Angst. Ich wäre so froh gewesen, hätte ich in dieser Phase Kontakt zu Menschen mit derselben Krankheit gehabt. Ohne meine Familie, meinen Freund und enge Freunde, ich weiss nicht …» erzählt sie.
«Eine völlig neue Geschichte»
Patrizia A. hat ihre Neuausrichtung erhalten, aber nicht so, wie sie es sich gewünscht hatte und wie es geplant war. Die Krankheit wird fortan ihre Begleiterin sein. Jetzt, rund drei Jahre nach Ausbruch, sitzt sie mir gegenüber und wirkt positiv, hat Pläne und Träume, beinahe wie einst. Und doch, sie schreibt ihre Geschichte völlig neu. Sie weiss um die Schwankungen, die Risiken, kennt die Grenzen, aber auch die kleinen Lebensspielräume, welche mit ihrer AIH einhergehen. Sie erlebt gute wie schlechte Tage. Anstrengend sei das Leben dann, wenn sie die Nebenwirkungen des Kortisonpräparats aus dem Gleichgewicht bringen. «Dann fühle ich mich wie ein Hamster im Rad, bin komplett neben der Spur. Die einfachsten Dinge fallen mir schwer.»
Als 2015 zudem heftige Gelenkschmerzen im ganzen Körper, hauptsächlich in den Armen, dazukommen, beschliesst Patrizia A. eine Fachtagung für Betroffene und Angehörige in Hamburg zu besuchen. Prompt erleidet sie dort einen weiteren Schub, der sie zu einem Aufenthalt im Universitätsklinikum Hamburg zwingt. Der dortige Pathologe nimmt – wie schon die Pathologie des Universitätsspitals Zürich – Kontakt zur Pathologie des Universitätsspitals Basel auf und erhält aufgrund der eingeschickten Proben einen konsiliarischen Befund von Professor Luigi Terracciano, dem Spezialisten für Hepatopathologie.
Faden aufgenommen
Patrizia A. will möglichst viel über AIH in Erfahrung bringen, Betroffene treffen, sich austauschen, ein Netz aufbauen. Dieses Bedürfnis patientinnenseits war denn auch ausschlaggebend, dass wir Patrizia A. begegnet sind. Die AIH-Patientin hatte sich mit einer Frage auf dem Facebook-Profil des Unispitals Basel gemeldet und wir haben den Faden aufgenommen. So ist es zu diesem Beitrag gekommen. Leider, so muss man sagen, ist diese Geschichte nicht zu Ende. Die Krankheit ist nicht heilbar. Patrizia A. muss lernen, mit ihrer AIH umzugehen. Dass es überhaupt eine Therapie gibt, auf die sie anspricht, gibt ihr ein Quantum Sicherheit und hilft ihr in den dunkelsten Stunden. Sie weiss, ein Leben wie früher wird nicht mehr möglich sein.
Das Hawaii in ihr
«Ich fühlte mich immer gut getragen von allen Seiten, hauptsächlich von den Ärzten, die teilweise auch im Dunklen tappen». Und fährt fort: «Die Krankheit gehört zu mir. Sie hat mir auch Türen geöffnet und meine Sicht auf das Leben verändert. Wenn man von hundert auf null fällt, dann ist der Weg nach oben kräftezehrend, vor allem, wenn man permanent erschöpft ist. Nun versuche ich alles, um mit kleinen Schritten voranzugehen. Ich nutze die Zeit zwischen den Schüben, gehe trotz permanenter Schmerzen regelmässig zum Muskeltraining, treffe mich vermehrt mit Freunden. Mein grosser Wunsch ist es, allmählich wieder mehr auch für andere da zu sein und vielleicht eines Tages sogar einer ehrenamtlichen Tätigkeit nachzugehen. Die Krankheit hat mich gezwungen, sehr viel über mich selbst nachzudenken. Aber ich lasse nicht zu, dass die Krankheit mich und mein Leben beherrscht. Jetzt gehe ich eben nicht mehr nur in Gedanken nach Hawaii, sondern schaffe mir die Insel so gut es geht.» Unübersehbar ist an einer Wand in Patrizia A.s Zuhause zu lesen: «DO MORE OF WHAT MAKES YOU HAPPY». Die Botschaft ist angekommen. Danke, Patrizia A..
* Name von der Redaktion geändert
Daten und Fakten: Prof. Luigi Terracciano zu AIH
Der Experte, Prof. Luigi Terracciano, Fachbereichsleiter Molekularpathologie, liefert die Definition: Die heute gültige Definition der AIH ist die einer «entzündlichen Lebererkrankung ohne bekannte Aetiologie, histologisch charakterisiert durch dichte einkernige (entzündliche) Portalinfiltration (Portalfeld: spezielle Struktur in der Leber) und serologisch durch positive Auto-Antikörper, hohe Aminotransferasen und erhöhtes Serum-IgG, die in der Regel gut auf immunosuppressive Therapie anspricht».
Die Behandlung erreicht bei 65% der Patientinnen und Patienten innert 18 Monaten eine Remission, und 80% der Patienten haben eine Remission innert drei Jahren (durchschnittliche Behandlungsdauer bis zur Remission ist 22 Monate). Bei schwerem, unkontrollierbarem Verlauf kann eine Lebertransplantation durchgeführt werden. Die geringe Inzidenz der Erkrankung und die wirksamen Behandlungsstrategien haben dazu geführt, dass AIH eine seltene Indikation für Lebertransplantation ist und macht nur 4% bis 5% der LTX-Verfahren für Leberzirrhose in Europa oder in den USA aus. Bei jedem dritten Patienten kommt es zu einem Rezidiv der AIH im Transplantat.
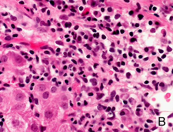
Histologie der klassischen AIH
Schwere Portalentzündung und kontinuierliche Interphasen-Hepatitis (Piecemealnekrosen).
Interphasen-Hepatitis: Beachte Reichtum an Plasmazellen.
Interphasen-Hepatitis mit Rosettenbildung als Ausdruck der regenerativen Aktivität.
Im Jahre 1950 berichtete Waldenström über meherere Fälle mit schweren, wellenförmig verlaufenden persistierenden Hepatitiden, begleitet von Akne, Spidernaevi, Amenorrhoe und stark erhöhten Serumglobulinen, die bei jungen Frauen auftraten. Diese Publikation gilt weltweit als Erstbeschreibung der Autoimmunhepatitis, obwohl schon früher einzelne ähnliche Fälle aus Australien, USA und Grossbritannien mitgeteilt worden waren. Damals vermutete man, es handle sich um eine persistierende (andauernde, fortwährende) Virusinfektion, sodass das Syndrom mit dem Begriff «chronisch aktive Virushepatitis» belegt wurde.
Als sich später die Hinweise häuften, dass der Erkrankung ein Verlust der Immuntoleranz zugrundeliegen könnte, wurden bis Ende 80er-Jahre die Bezeichnungen «lupoide» (= wolfsähnlich «fressende») oder «autoimmune chronisch aktive Hepatitis» bevorzugt. Ursprünglich wurde die Erkrankung als aggressiv, mit rascher Progression zur Zirrhose (kompletter Leberumbau mit Funktionsverlust) und bei unbehandelten Patienten mit einer Mortalitätsrate bis zu 80% innert 5 Jahren nach Diagnosestellung angesehen. Klinische Verlaufsstudien in den späten 60er- und frühen 70er-Jahren ergaben jedoch in den meisten Fällen ein gutes Ansprechen auf eine immunsuppressive Therapie.
beschäftigten sich zwei spezialisierte internationale Studiengruppen mit der Definition der autoimmunen chronisch aktiven Hepatitis. Beide Gruppen empfahlen, den Begriff «chronisch aktive Hepatitis» fallen zu lassen zugunsten der einfachen Bezeichnug «Autoimmunhepatitis (AIH)» mit der Begründung, dass (a) der Erkrankung offensichtlich eine genetische Prädisposition zugrundeliege und sie demnach von Beginn an chronisch sei, und (b) die Krankheit charakteristischerweise fluktuierend verlaufe, mit spontanen oder therapiebedingten Remissionen und somit nicht immer «aktiv» sei.
Die heute gültige Definition der AIH ist die einer «entzündlichen Lebererkrankung ohne bekannte Ätiologie, histologisch charakterisiert durch dichte einkernige (entzündliche) Portalinfiltration (Portalfeld: spezielle Struktur in der Leber) und serologisch durch positive Auto-Antikörper, hohe Aminotransferasen und erhöhtes Serum-IgG, die in der Regel gut auf immunosuppressive Therapie anspricht».
Die AIH zeigt keine pathognomonischen Merkmale. Die Diagnose basiert somit zum einen auf dem Ausschluss anderer Ursachen (vor allem virale Hepatitis, primär biliäre Zirrhose, primär sklerosierende Cholangitis, M. Wilson, a1-Antitrypsin-Mangel, aber auch alkohol- oder medikamentös bedingten Veränderungen, einschliesslich paramedizinischer pflanzlicher Wirkstoffe bzw. Umweltgifte) und zum anderen auf dem Vorliegen einer Kombination von klinischen, biochemischen, immunologischen und histologischen Veränderungen.
Die Behandlung erreicht in 65% der Patienten innert 18 Monaten eine Remission, und 80% der Patienten haben eine Remission innert drei Jahren (durchschnittliche Behandlungsdauer bis zur Remission ist 22 Monate). Bei schwerem, unkontrollierbarem Verlauf kann eine Lebertransplantation durchgeführt werden. Die geringe Inzidenz Erkrankung und die wirksamen Behandlungsstrategien haben dazu geführt, dass AIH eine seltene Indikation für Lebertransplantation ist und macht nur 4% bis 5% der LTX-Verfahren für Leberzirrhose in Europa oder in USA. Bei jedem dritten Patienten kommt es zu einem Rezidiv der AIH im Transplantat.
- Frauen zwar bevorzugt erkranken, die AIH jedoch zunehmend auch bei Männern beobachtet wird,
- die AIH prinzipiell in allen Altersstufen auftreten kann, weltweit aber über 40-jährige Patienten überwiegen,
- die AIH wellenförmig verläuft, mit Episoden von spontanem oder therapiebedingtem klinisch-biochemischem Abklingen (bei oft histologisch weiterbestehender Aktivität!) und späteren erneuten Schüben.
Die Histologie hat ein grosses Gewicht in der Diagnostik. Interphasen-Hepatitis, d.h. dichte, vorwiegend lympho-plasmozelluläre portale und periportale/periseptale Infiltrate mit oft reichlich Plasmazellen und Mottenfrassnekrosen sind wegleitend.
Eine sehr grosse populationsbasierte Studie, in der die Häufigkeit der AIH in Dänemark zwischen 1994 und 2012 erfasst wurde, bestätigte mit einer Inzidenz von 1,68/100 000 frühere Schätzungen zur Häufigkeit der AIH im Wesentlichen. Allerdings zeigte sich hier, dass – entgegen der weitläufigen Meinung, es seien v. a. jüngere Patienten betroffen – der Erkrankungsgipfel um die 6. bis 7. Lebensdekade liegt. Die Prävalenz liegt in Europa etwa bei 11–17/100 000 Einwohnern, Frauen sind etwa 3- bis 4-mal häufiger betroffen als Männer.


Kommentar hinzufügen
Kommentare (0)
Keine Kommentare zu diesem Artikel vorhanden. Sei die/der Erste, der diesen Artikel kommentiert.